
いつまでも「しっかり噛めて美味しく食事したい」患者様やご家族のお口の健康に関する思いを傾聴しつつ、ご理解と信頼のもとケアや診療を提供していきたいと考えています。
歯列矯正とは、歯の列(歯並び)や噛み合わせを整えるために行う矯正治療のことを指します。
歯並びが乱れていると見た目だけでなく、虫歯や歯周病になりやすい、発音がしにくい、噛み合わせのバランスが崩れることで肩こりや頭痛を招くなど、健康面にも影響が出ることがあります。歯列矯正を行うことで、見た目の改善はもちろん、機能的にも健康的な口腔環境を手に入れることができます。
まずはご相談ください。
歯列矯正は、治療期間が比較的長くなることもあり、不安や迷いを感じる方も少なくありません。
当院では、すぐに治療を始めることを前提とせず、相談のみでも対応しています。
気になることがあれば、どんなことでもご相談ください。
透明なマウスピース型の装置を使用する矯正方法です。
取り外しが可能なため、食事や歯みがきがしやすいという特徴があります。
すべての症例に適応できるわけではないため、
事前にしっかりと検査を行ったうえで適応を判断します。
主に成長期のお子さまを対象とした矯正方法です。 顎の成長や口周りの筋肉のバランスに配慮しながら、歯並びや噛み合わせを考えていきます。 使用時間や装着状況によって経過が変わるため、ご家庭での協力も大切になります。
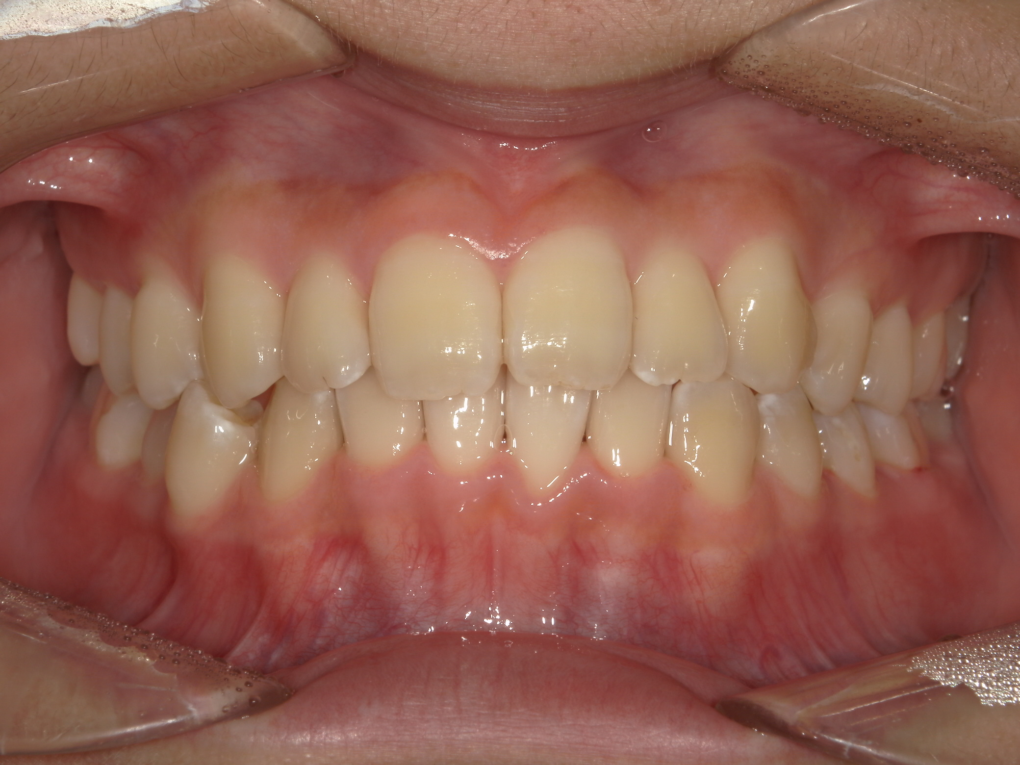
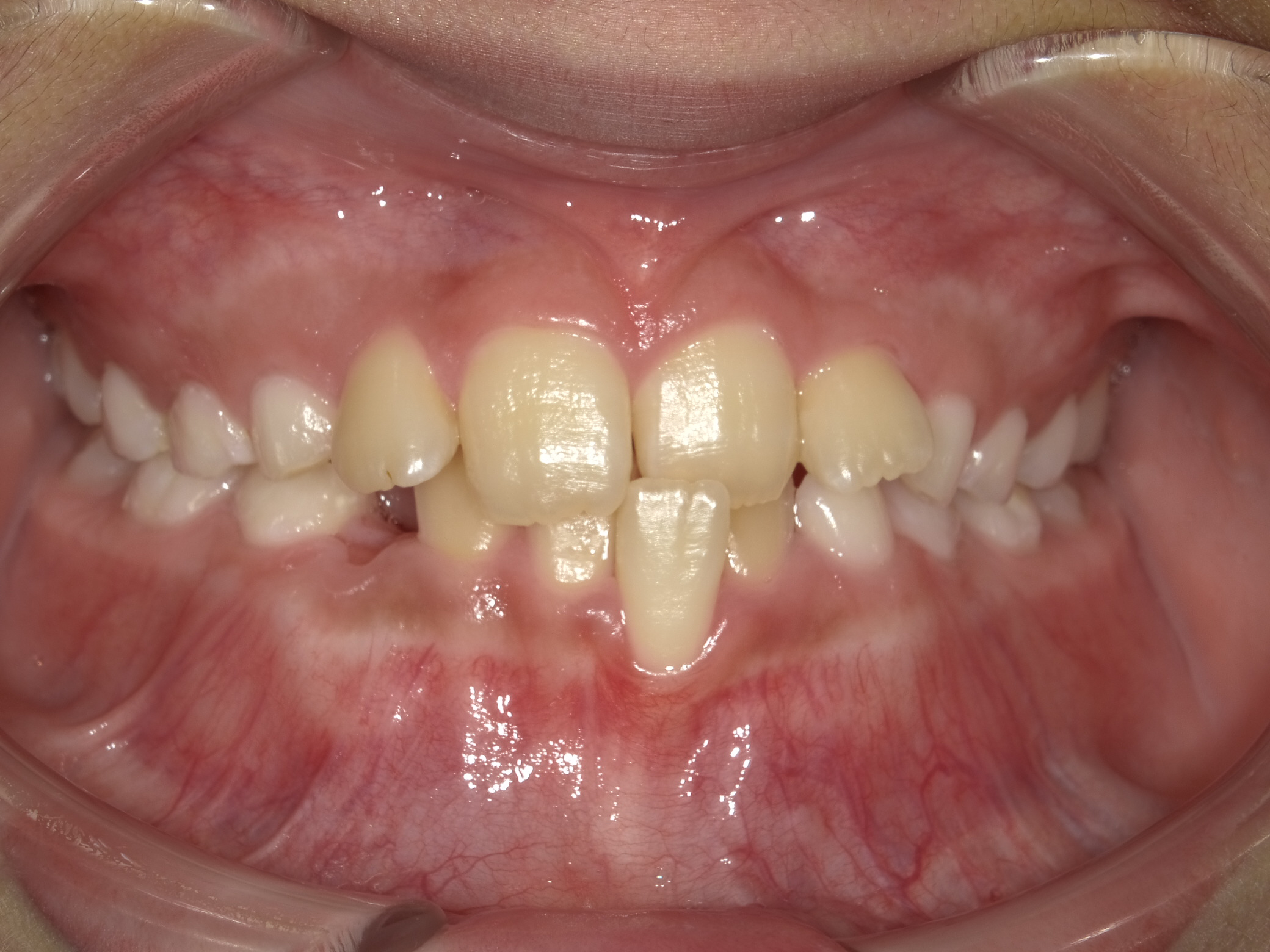
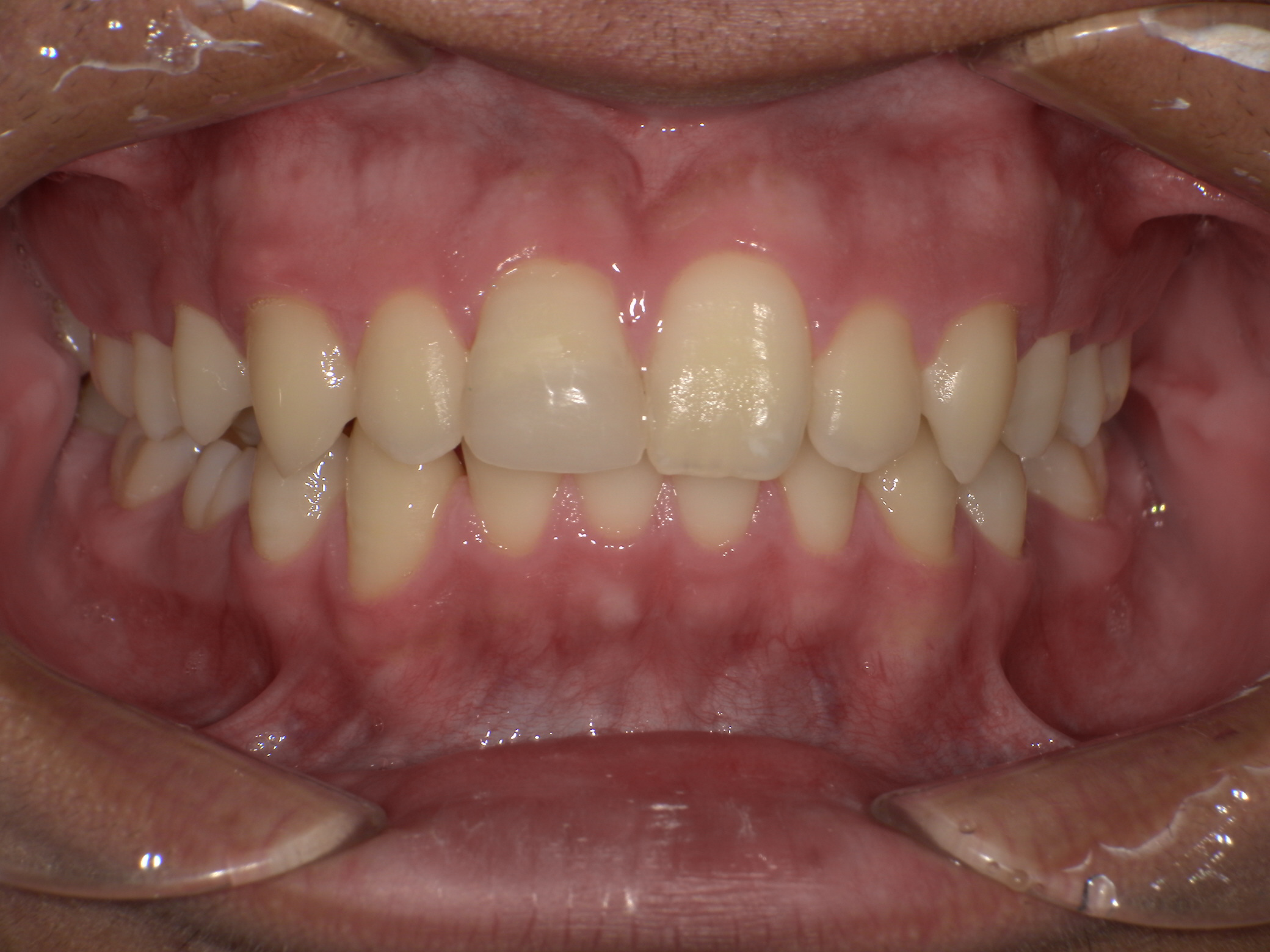
Before
After
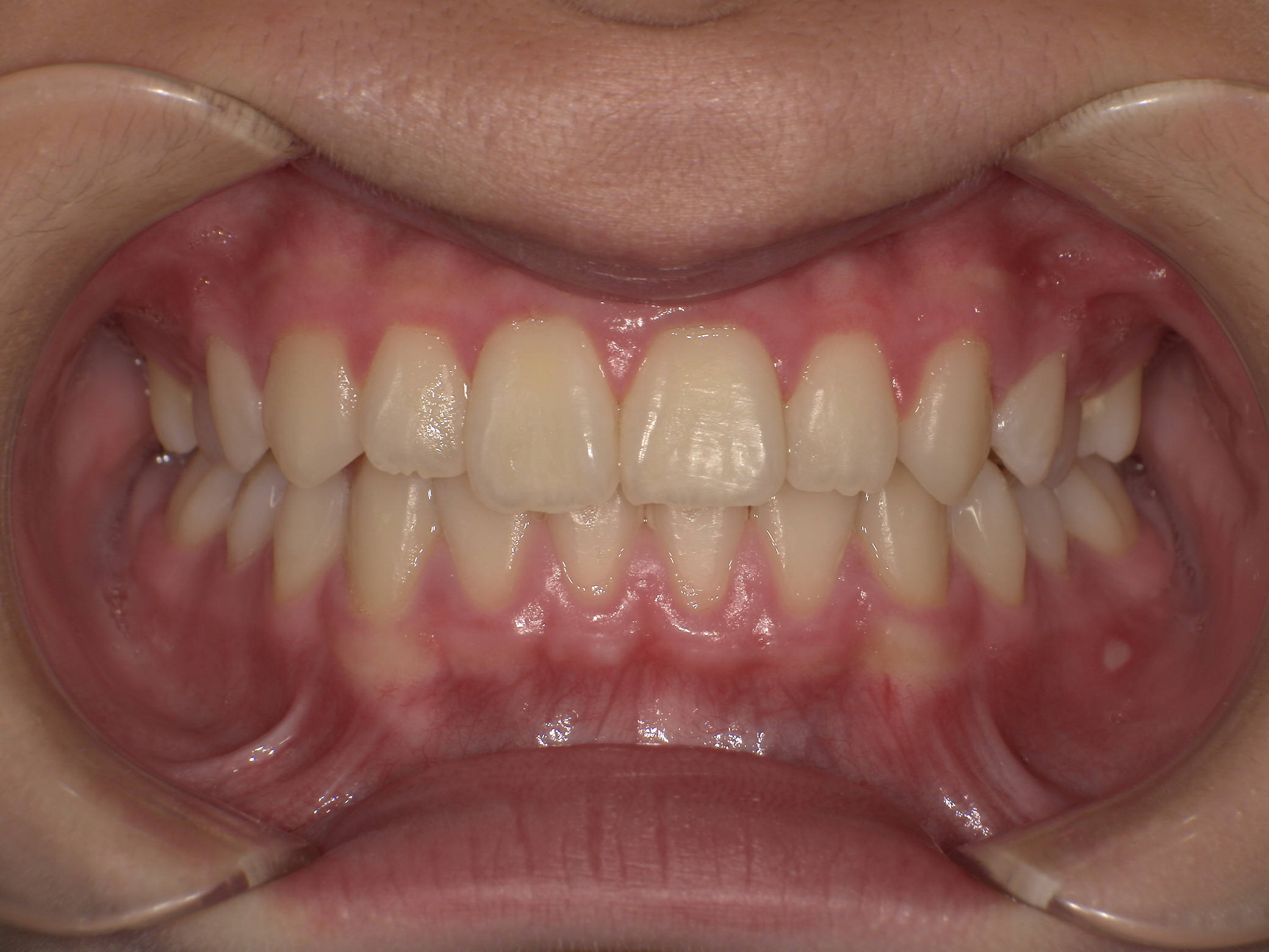
Before
After
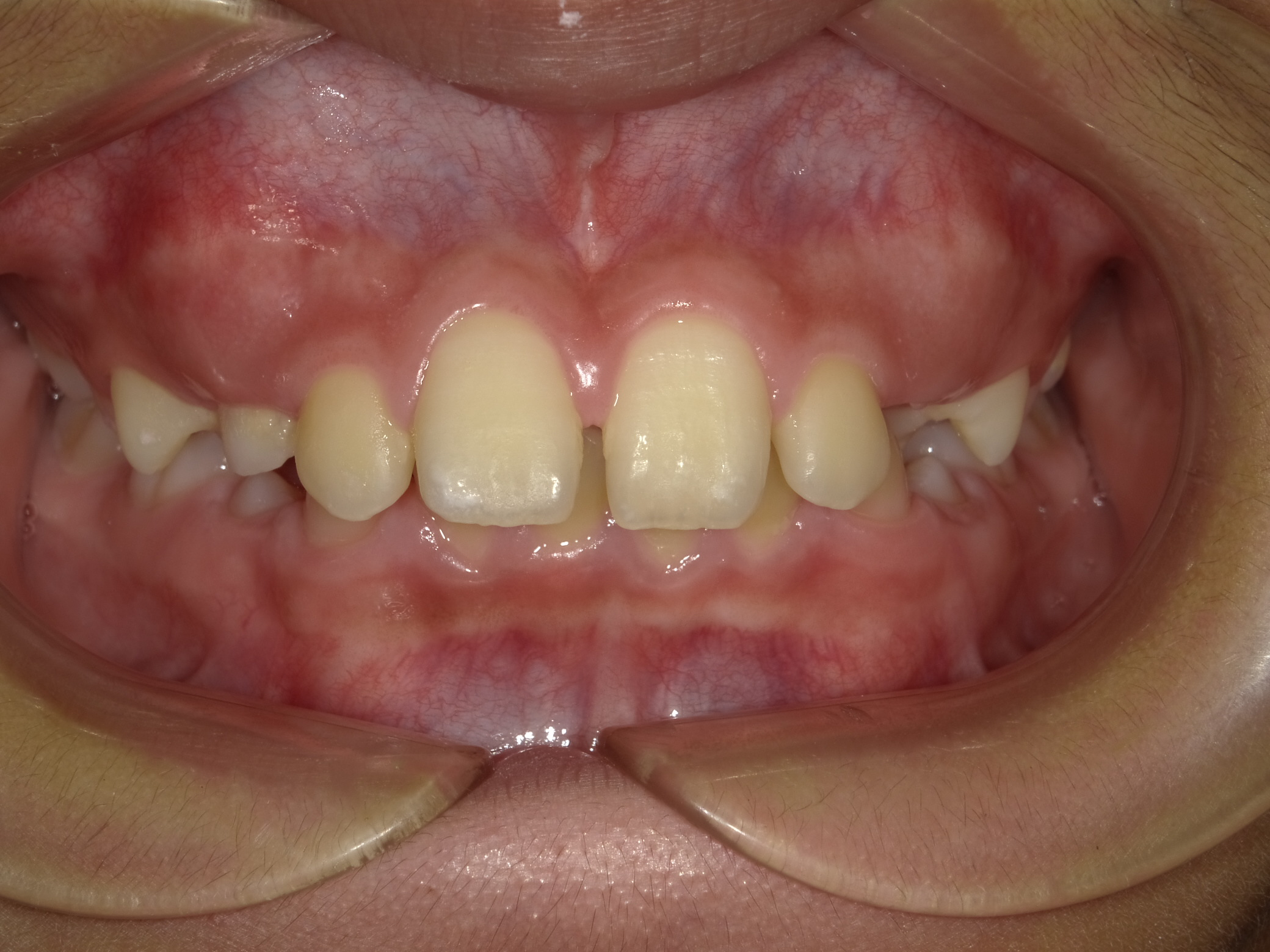
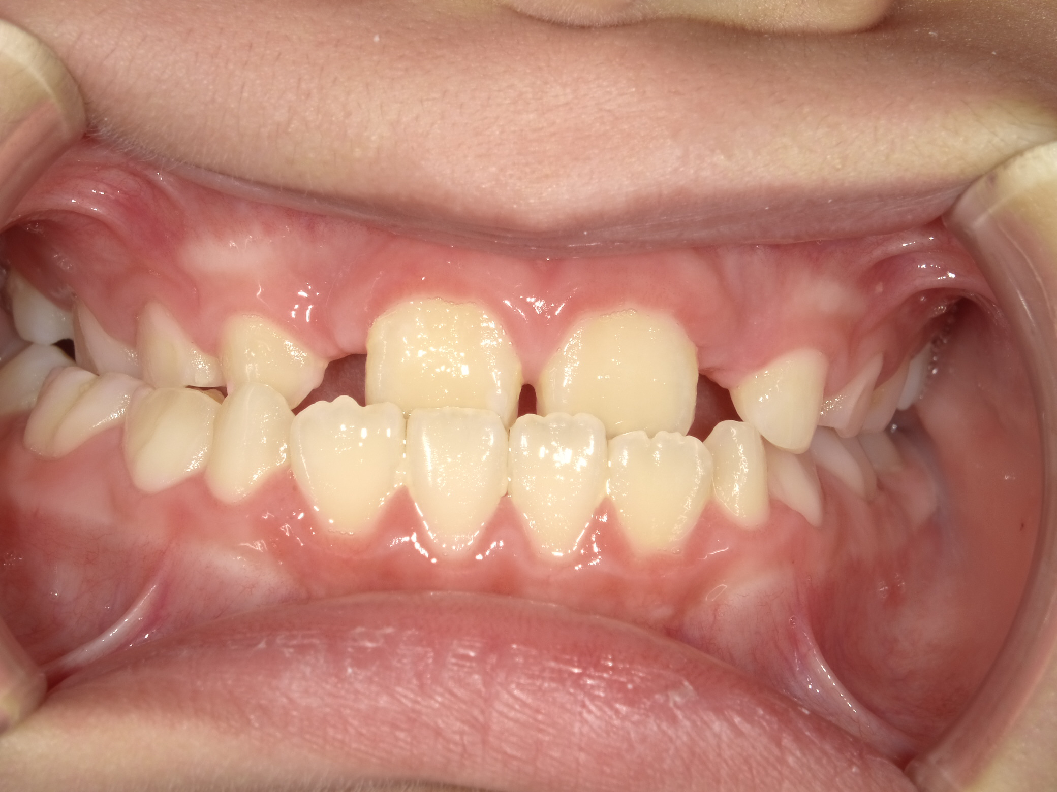
Before
After
歯の表面に装置を装着し、ワイヤーを用いて歯を動かしていく矯正方法です。
幅広い歯並びや噛み合わせの状態に対応できることが特徴です。
治療期間や通院頻度については、お口の状態に応じてご説明いたします。
